ホワイトスポット治療
歯の表面にできた白い斑点、「ホワイトスポット」が気になっていませんか?
当院では、ドイツで生まれたレジン浸潤材『Icon(アイコン)』を用いたホワイトスポット治療を行っています。
「歯の白い斑点が小さいころから気になる」「矯正後に初期むし歯ができて歯が白濁した」などでお悩みの方は一度ご相談ください。
当院では、ドイツで生まれたレジン浸潤材『Icon(アイコン)』を用いたホワイトスポット治療を行っています。
「歯の白い斑点が小さいころから気になる」「矯正後に初期むし歯ができて歯が白濁した」などでお悩みの方は一度ご相談ください。
このようなお悩みはありませんか?

✓前歯のホワイトスポットが気になり、笑顔に自信が持てない
✓矯正してからホワイトスポットが目立つようになった
✓歯を削らずに口元の見た目を整えたい
✓ホワイトニングを試したが改善しなかった
✓矯正してからホワイトスポットが目立つようになった
✓歯を削らずに口元の見た目を整えたい
✓ホワイトニングを試したが改善しなかった
『Icon(アイコン)』とは
『Icon(アイコン)』は、ホワイトスポットを改善するためのレジン浸潤材です。ドイツで開発され、日本では、2012年から株式会社ヨシダを介して販売されています。
今までのホワイトスポットの治療では、白斑の部分を削った上での詰め物による修復や、薄いセラミックの板を貼り付ける「ラミネートべニア」が一般的でした。
一方、『Icon(アイコン)』は、歯を削らずに、特殊なレジン(樹脂)を用いて見た目の改善をめざす画期的な治療法です。
※自由診療です。
※一時的に知覚過敏が生じることがありますが、ほとんどの場合、数日で回復します。治療後2〜3日は着色性のある飲食物(コーヒー、赤ワインなど)を控えていただきます。また、時間が経つと後戻りが起こる可能性があります。深部まで及ぶ白濁に限り、表面を僅かに研削する場合があります。
※通院回数:1〜3回
※治療の流れ:カウンセリングの上で、『Icon(アイコン)』をホワイトスポットに浸透させる施術を行います。
一方、『Icon(アイコン)』は、歯を削らずに、特殊なレジン(樹脂)を用いて見た目の改善をめざす画期的な治療法です。
※自由診療です。
※一時的に知覚過敏が生じることがありますが、ほとんどの場合、数日で回復します。治療後2〜3日は着色性のある飲食物(コーヒー、赤ワインなど)を控えていただきます。また、時間が経つと後戻りが起こる可能性があります。深部まで及ぶ白濁に限り、表面を僅かに研削する場合があります。
※通院回数:1〜3回
※治療の流れ:カウンセリングの上で、『Icon(アイコン)』をホワイトスポットに浸透させる施術を行います。

Icon治療の仕組み
そもそもホワイトスポットができる理由は、歯の表面にあるエナメル質が白濁することにあります。エナメル質の形成不全によって空気や不純物が入り込む場合と、初期むし歯ができている場合の二通りが考えられます。 Icon治療では、「TEGDMA」と呼ばれる液体状の特殊なレジン(樹脂)を白斑部分に浸透させることにより、光の屈折率を調整し、本来の自然な透明感を回復させます。
『Icon(アイコン)』は、塩酸、エタノール、TEGDMAの3種類の薬剤がセットになっています。TEGDMAを浸透しやすくするため、まずは塩酸でエナメル質の表面を整え、エタノールで歯の表面を乾燥させます。その上でTEGDMAを浸透させることで、ホワイトスポットの改善をめざします。
『Icon(アイコン)』は、塩酸、エタノール、TEGDMAの3種類の薬剤がセットになっています。TEGDMAを浸透しやすくするため、まずは塩酸でエナメル質の表面を整え、エタノールで歯の表面を乾燥させます。その上でTEGDMAを浸透させることで、ホワイトスポットの改善をめざします。

費用の目安
Icon(アイコン)治療の費用 (自由診療)
33,000円~55,000円/1歯あたり(ホワイトスポットの状態による)
33,000円~55,000円/1歯あたり(ホワイトスポットの状態による)
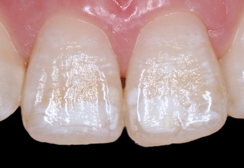
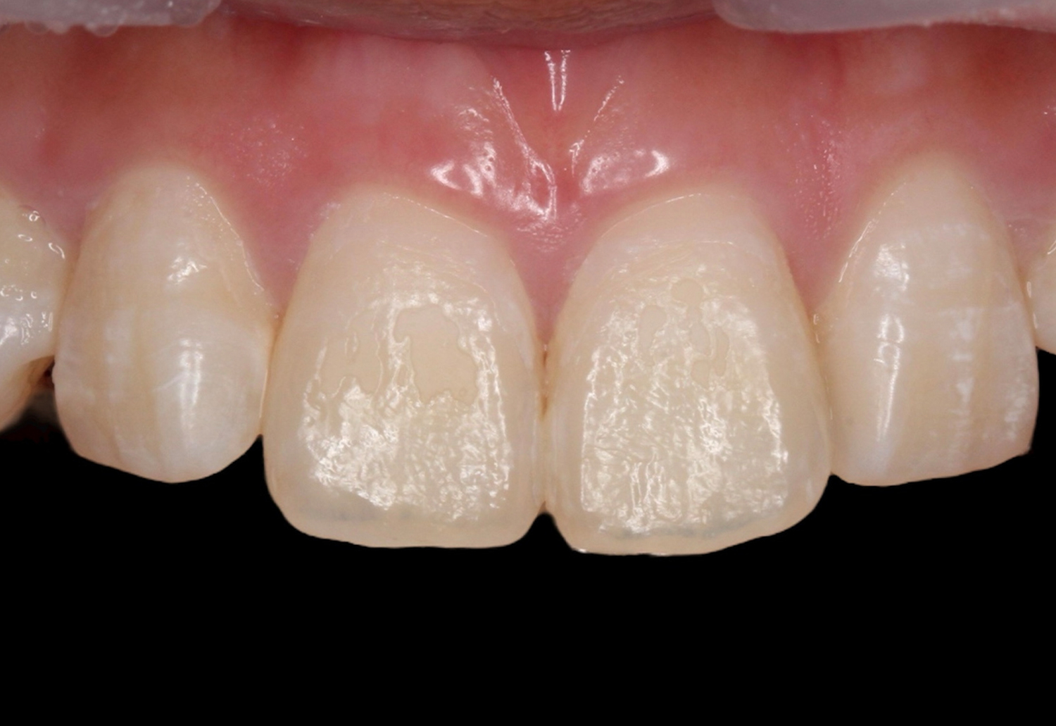
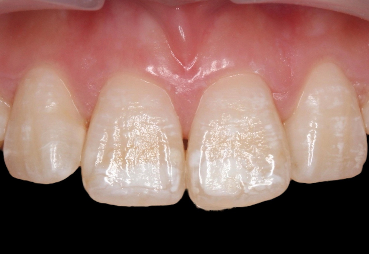
症例

- 治療内容
- Icon(アイコン)治療 / 削らずに白斑を目立たなくする処置
- 治療期間
- 1回(約30〜60分)
- 費用
- 66,000円(税込) / ホワイトスポット治療(1歯 33,000円 × 2本)
※当院で矯正治療を行われた方のアフターケア価格
(通常 110,000円 / 1歯55,000円 × 2本) - 治療リスク
- 術中・術後一時的に知覚過敏の症状が起こることがありますが、数日で治ることがほとんどです。治療後2、3日は着色性の食品を控える必要があります。経年的に着色することがあります。長期経過後はホワイトスポットが後戻りする可能性があります。
Icon治療の注意点
● すべての症例に適応となるわけではありません。ホワイトスポットの状態によっては、Icon治療が適さないケースもあります。
その場合は、ダイレクトボンディングやラミネートベニアなど、ほかの治療法をご提案いたします。
● ホワイトスポットに黄ばみ(イエロースポット)や茶色の変色(ブラウンスポット)がある場合は、事前にホームホワイトニングを行っていただく必要があります。
● 治療後は、経年による着色や、ホワイトスポットの後戻りが生じる可能性があります。
● 効果には個人差があります。ホワイトスポットの深さや範囲によって、1回の治療で十分な効果が得られない場合があります。特にホワイトスポットが深いケースでは、完全に消えず痕が残ることがあります。
● 歯の深部から白く濁っている場合は、薬剤の浸透を促す為に表面を僅かに研削する場合がございます。
● 施術後、施術部位へのホワイトニングの効果が出にくくなることがあります。
● 施術中や施術後に一時的に知覚過敏(しみる症状)が出ることがあります。多くの場合は数日で自然に治まります。
● 施術後2〜3日間は、赤ワイン・コーラ・カレーなどの着色性のある食品や飲み物は避けていただく必要があります。
その場合は、ダイレクトボンディングやラミネートベニアなど、ほかの治療法をご提案いたします。
● ホワイトスポットに黄ばみ(イエロースポット)や茶色の変色(ブラウンスポット)がある場合は、事前にホームホワイトニングを行っていただく必要があります。
● 治療後は、経年による着色や、ホワイトスポットの後戻りが生じる可能性があります。
● 効果には個人差があります。ホワイトスポットの深さや範囲によって、1回の治療で十分な効果が得られない場合があります。特にホワイトスポットが深いケースでは、完全に消えず痕が残ることがあります。
● 歯の深部から白く濁っている場合は、薬剤の浸透を促す為に表面を僅かに研削する場合がございます。
● 施術後、施術部位へのホワイトニングの効果が出にくくなることがあります。
● 施術中や施術後に一時的に知覚過敏(しみる症状)が出ることがあります。多くの場合は数日で自然に治まります。
● 施術後2〜3日間は、赤ワイン・コーラ・カレーなどの着色性のある食品や飲み物は避けていただく必要があります。
治療の流れ
STEP 1 カウンセリング・診断
患者様の歯の状態やお悩みを丁寧にうかがい、ホワイトスポットの原因や深さを確認します。治療の適応となるかを診断し、適切な治療法をご提案します。


STEP 2 クリーニング
治療部位をクリーニングし、歯垢や着色汚れを除去します。


STEP 3 『Icon(アイコン)』を用いた処置
薬剤で歯の表面を整え、液体の特殊なレジン(樹脂)をホワイトスポットに浸透させます。光で硬化させ、仕上げに表面を研磨してなめらかに整えます。


STEP 4 経過観察
治療後の歯の状態を確認し、必要に応じて追加の処置を行います。

ホワイトスポット治療を検討されている方へ
これまでは、歯を削る治療法が一般的だったホワイトスポット治療。しかし、大切な歯を削ることに不安や抵抗を感じる方も少なくありませんでした。Icon治療は、歯を削ることなく、ホワイトスポットの改善が期待できる先進的な治療法です。
歯は削りたくない、でもホワイトスポットはきれいにしたい。そのようなお悩みがある方は、ぜひ一度ご相談にいらしてください。
歯は削りたくない、でもホワイトスポットはきれいにしたい。そのようなお悩みがある方は、ぜひ一度ご相談にいらしてください。

よくあるご質問
Icon治療は、歯をほとんど削らないため、一般的なむし歯治療に比べると痛みが少ないとされています。治療中や治療後に一時的な知覚過敏(しみる症状)が出ることがありますが、多くは数日で自然に治癒します。
通常、以下の3ステップで1〜3回程度の通院が必要です。
①初回カウンセリング
②『Icon(アイコン)』を用いた施術
③経過観察・仕上げの確認
なお、イエロースポットやブラウンスポットなどの着色を伴うホワイトスポットの場合は、まずはホームホワイトニングを受けていただきます。その際には、マウスピースの製作と受け取りのために、追加でご通院が必要になります。
Icon治療は、ホワイトスポットに特殊なレジン(樹脂)を浸透させ、修復することで見た目の改善をめざします。一方でホワイトニングは、薬剤で色素を分解し、歯を白くする施術です。ホワイトスポットがある状態でホワイトニングを行うと、効果が得られなかったり、ホワイトスポットが浮き出て目立ったりすることもあります。症状に応じて適切な治療をご提案します。
Icon治療は保険診療の適用外(自由診療)となります。
はい、可能です。ただし、イエロースポットやブラウンスポットなどの着色がある場合は、Icon治療の前にホームホワイトニングを行う必要があります。
妊娠中の方に対するIcon治療は、まだ安全性が十分に確認されておらず、また緊急性が高くない治療であることから、原則としてご遠慮いただいています。
治療自体に年齢制限はありませんが、当院では永久歯が生えてから2〜3年が経過している中学生以上の方にご案内しております。




